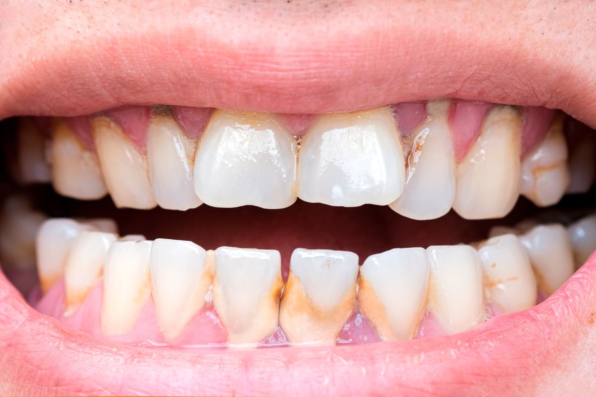
Зъбният камък е втвърдената, минерализирана форма на плаката и трябва да се почиства професионално в дентален кабинет на всеки 6 месеца или по-често при необходимост. Плаката се произвежда от бактерии, които живеят в устата. Тя е мек, лепкав слой от бактерии и хранителни остатъци, който се образува върху зъбите и венците. За разлика от зъбния камък, плаката може да се отстранява с четкане на зъбите и поддържане на добра орална хигиена.
Ако плаката не се отстрани своевременно с правилно почистване на зъбите, с течение на времето тя се втвърдява и се превръща в зъбен камък. Наличието на плака и зъбен камък водят до лош дъх, кървене и заболявания на венците.
Професионалното почистване на зъбите е една от най-важните стъпки за поддържане на здрава и красива усмивка. Въпреки това, около него все още съществуват редица митове – че е болезнено, излишно или може да навреди на зъбите. В тази статия ще развенчаем най-разпространените заблуди и ще ви покажем защо редовните почиствания са инвестиция в дългосрочното здраве.

Мит 1 – Премахването на зъбния камък прави зъбите по-чувствителни
Веднага след почистване е нормално чувствителността на зъбите да бъде малко по-голяма. Тази увеличена чувствителност изчезва в рамките на седмица. След професионално почистване на зъбите от зъбен камък може венците да се третират в продължение на 1-2 седмици с лекарствено средство за стягане, за да се подпомогне тяхното по-бързо и ефективно заздравяване.
Мит 2 – Почистването на зъбен камък води до разклащане на зъбите
Истината е точно обратната. Отлаганията от зъбен камък, които се натрупват по зъбите с течение на времето образуват „полукалцифициран“ слой между венците и зъбите, което води до отдръпване на венците и разхлабване на зъбите.
При почистване на зъбите, премахването на зъбния камък създава впечатление, че зъбите са разхлабени, но истината е, че след премахването на зъбния камък те дори стават по-стабилни.
Мит 3 - Добрата домашна хигиена е достатъчна

Дори при старателно миене и използване на конец, има зони, до които четката не достига – особено под венеца и между зъбите.
Само професионалните инструменти могат да премахнат натрупванията в тези труднодостъпни места.
По време на профилактичния преглед зъболекарят може също да открие навреме начален кариес или възпаление, преди те да причинят болка и дискомфорт.
Мит 4 - Почистването на зъбния камък е дискомфортно и болезнено

Съвременните техники и уреди за почистване на зъбите са толкова нежни, че максималното което може да се изпита е само лек дискомфорт. Много хора избягват професионалното почистване на зъбите именно поради факта, че се притесняват от причинен дискомфорт. Напредъкът в денталните технологии и техники обаче направи професионалното почистване на зъбите много по-приятно и комфортно – една истинска дентална СПА процедура.
В нашата клиника извършваме почистването на зъбите с швейцарския уред AIRFLOW на EMS, който почиства зъбите нежно и деликатно спазвайки процедурата Guided Biofilt Therapy.
Мит 5 - Професионалното почистване на зъбите уврежда емайла

Много пациенти изразяват опасение, че професионалното почистване на зъбите може да увреди зъбния емайл, но това е мит. Съвременните дентални технологии премахват зъбния камък и плаката и по никакъв начин не увреждат емайла.
Професионалното почистване на зъбите е напълно безопасно и е изключително важно за доброто орално здраве.
По време на почистването лекарите по дентална медицина използват специални инструменти като скалери и полиращи машини. Те ефективно почистват зъбите, като същевременно запазват целостта на емайла.
Мит 6 - Нямам проблеми – значи не ми трябва почистване
Истината е, че дори при липса на видими оплаквания, е важно да се правят профилактични почиствания на всеки 6 месеца. При подрастващите почистването на зъбите е необходимо да се извършва на всеки 4 месеца.
Плаката и зъбният камък се натрупват постепенно и могат да доведат до възпаления, кървене на венците и загуба на кост, без да усетим болка в началото.
Професионалното почистване премахва тези отлагания и предпазва от по-сериозни проблеми, чието лечение е многократно по-скъпо и продължително.
Мит 7 - Честото почистване вреди на зъбите
Професионалното почистване не отслабва зъбите – напротив, то укрепва емайла чрез флуорна защита и намалява риска от кариеси и пародонтални заболявания. Редовните почиствания създават основата за дълготрайно здрави и стабилни зъби.
Истината: Почистването е профилактика, не лукс
Редовното професионално почистване не е просто естетична процедура – то е необходимост. То предотвратява заболявания на венците, лош дъх, натрупване на плака и дори общи здравословни проблеми, свързани с хронични възпаления.
В Специализирана дентална клиника Бушкалова използваме най-съвременната апаратура за безболезнено и ефективно почистване – с грижа за здравето, комфорта и усмивката на всеки пациент.
Заключение

Не чакайте появата на болка или видим проблем. Профилактиката е най-доброто лечение.
Запишете си час за професионално почистване на зъбите в Специализирана дентална клиника Бушкалова и се уверете колко приятно може да бъде да се грижите за усмивката си.
