Blog

Обратна захапка – Причини, последици и видове лечение

Съдържание Какво представлява обратната захапка? Обратната захапка е състояние, при което долните предни зъби се показват пред горните предни зъби. Това се получава, когато долната челюст излиза пред горната челюст. Обратната захапка е малоклузия (неправилно подредени зъби) от клас III. При по-тежки случаи обратната захапка може дори да повлияе на външния вид. Колко често срещана […]

Имплант или мост – Кое да изберем при липсващ зъб?

Съдържание Липсата на зъб може да промени захапката, естетичната симетрия на усмивката и начина, по който съседните зъби се износват с течение на времето. Най-често при загуба на зъб се поставя имплант или фиксиран зъбен мост. И в двата случая ще се запълни липсващото пространство и ще се възстанови дъвкателната функция. Най-добрият избор за всеки […]

Смучене на палец – Как може да повлияе на оралното здраве на децата?

Съдържание Родителите, които се интересуват от оралното здраве на своите деца, трябва задължително да прочетат настоящата статия, защото колкото повече се говори по темата, толкова повече ще се намали влиянието от вредния навик децата да си смучат палеца. До какво води смученето на палеца? Как можем да накараме детето да спре да прави това? Отговора […]

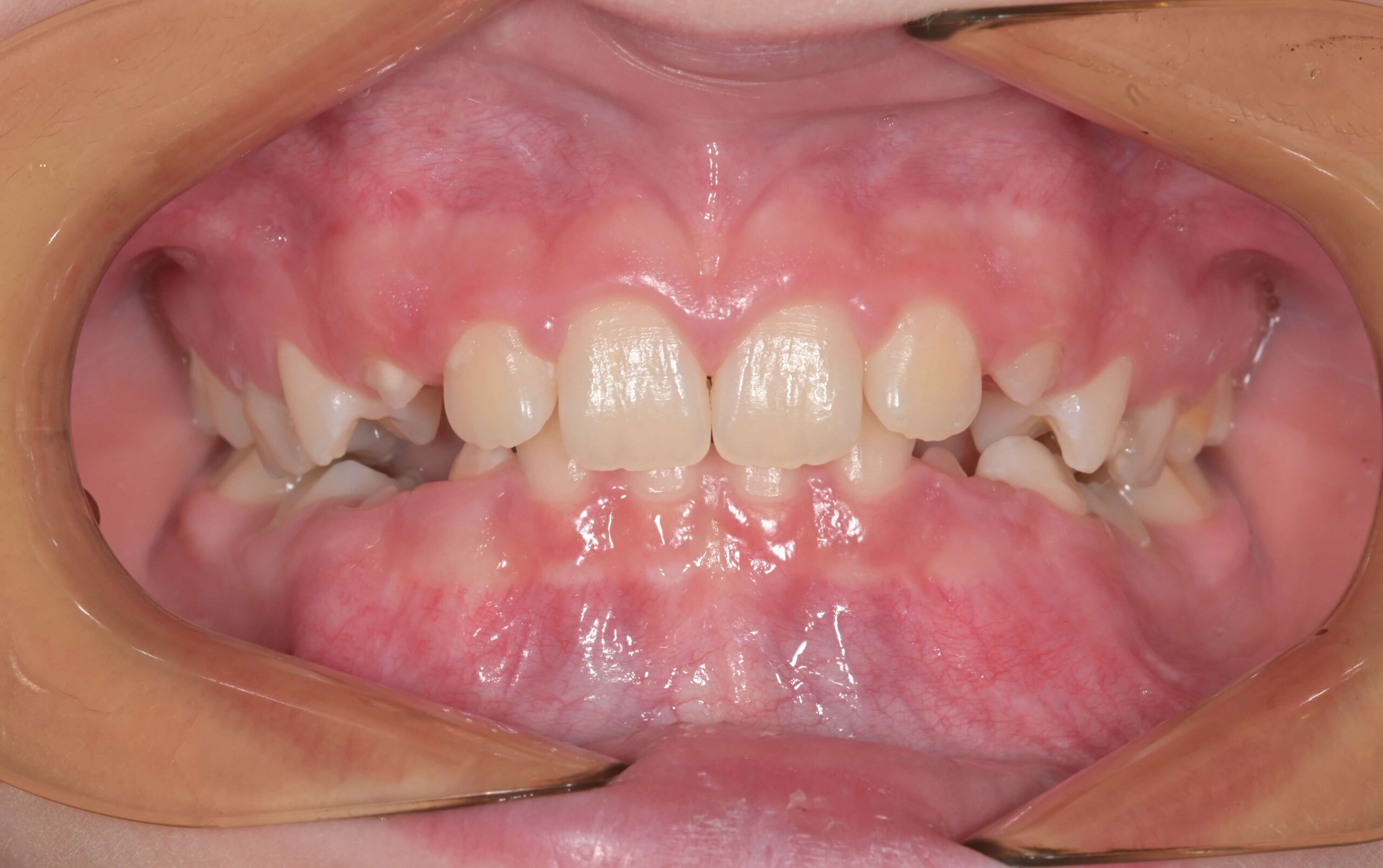
Кръстосана захапка – Причини, последици и видове лечение

Съдържание Кръстосана захапка – Какво представлява? Кръстосаната захапка е една от най-често срещаните форми на малоклузия (неправилно подреждане на зъбите), при която горни зъби захапват вътре спрямо долните, вместо да ги покриват отвън, както е при нормална оклузия. Тази зъбна аномалия може да засегне единичен зъб или група зъби, засягайки предната или задната част на […]

Дълбока захапка – Причини, последици и видове лечение

Съдържание Какво представлява дълбоката захапка? Дълбоката захапка е вид малоклузия, при която горните предни зъби значително припокриват долните предни зъби, когато моларите са затворени. Дълбоката захапка е най-често срещания вид неправилна захапка. Много хора подценяват този проблем, който може да бъде решен с правилно ортодонтско лечение. Защо дълбоката захапка трябва да бъде коригирана? Ето до […]

Видове захапка (оклузия) – Най-често срещани проблеми със захапката

Какво е оклузия (захапка)? Захапката е от ключово значение за оралното здраве. Tерминът оклузия (захапка) се отнася за това как се срещат долните с горните зъби. Неправилната захапка, наречена още малоклузия, се проявява, когато зъбите се срещат неправилно или изобщо не се срещат. Проблемите със захапката могат да са в резултат от много разнообразни причини, […]

Ретиниран мъдрец- Какво представлява, симптоми и лечение

Мъдреците – известни още като третите молари – са последните зъби, които израстват. Обикновено те пробиват венеца между 17 и 25 годишна възраст. Често мъдреците не изникват в съответствие с останалите зъби, заклещват се частично или напълно във венеца или челюстната кост. Това състояние се нарича ретиниран мъдрец и често причинява проблеми за оралното здраве, […]

Дентални рентгенови снимки – всичко, което трябва да знаете

Денталните рентгенови снимки са неразделна част от съвременната дентална медицина. Те дават възможност на зъболекаря да „види“ това, което остава скрито за окото по време на стандартен преглед – кариеси между зъбите, възпаления, загуба на костна тъкан и други проблеми, които в ранните си етапи често протичат без болка. Въпреки това, темата за рентгените все […]

10 навика, които вредят на оралното здраве

1. Често похапване При всяко хранене бактериите в устната кухина се хранят с остатъчните захари и отделят киселини. Тези киселини отслабват емайла и при чести хапвания зъбите са подложени на киселинна атака по-дълго време. Дори здравословни храни, като мюсли и сушени плодове, полепват по зъбите и удължават излагането на емайла на киселинна среда. С течение […]

15 години лазерна дентална медицина в Дентална клиника Бушкалова – пътят на знанието, иновациите и прецизното лечение

След множество специализирани обучения, международни конгреси, научни доклади и клинични изследвания, на 6 декември във Виена, в Университета „Зигмунд Фройд“, д-р Диана Бушкалова успешно завърши престижната програма и получи сертификат Mastership – “Laser Therapy in Dentistry” от World Academy for Laser Education in Dentistry. Това представлява магистърска степен по „Лазерна терапия в стоматологията“ – едно […]