Какво е оклузия (захапка)?
Захапката е от ключово значение за оралното здраве. Tерминът оклузия (захапка) се отнася за това как се срещат долните с горните зъби. Неправилната захапка, наречена още малоклузия, се проявява, когато зъбите се срещат неправилно или изобщо не се срещат.
Проблемите със захапката могат да са в резултат от много разнообразни причини, като често се предава по наследство. Някои детски навици също могат да променят структурата на челюстта. Например хроничното смучене на палец и продължителната употреба на биберон, води до асиметричен растеж на челюстта под формата на кръстосана и/или отворена захапка.
Ето кои са 7-те основни типа проблемни захапки, които често се срещат при децата и възрастните.
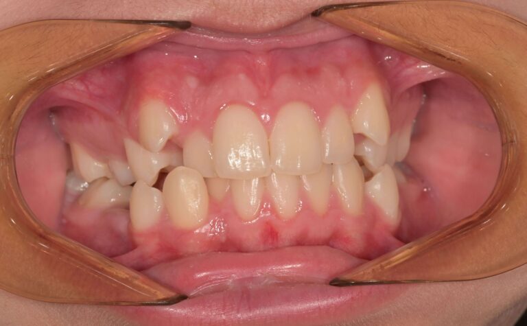
Кръстосана захапка (Crossbite)

Кръстосаната захапка е ортодонтски проблем, при който горните зъби застават зад долните. Дължи се на несъответствие в челюстите, което поражда неправилно подреждане на зъбите (включително млечните зъби). Може да засегне един, няколко зъба или цялото съзъбие. Има два основни вида кръстосана захапка:
Задна кръстосана захапка – По-често срещана от двата вида. Възниква, когато горните задни зъби попадат зад долните задни зъби.
Предна кръстосана захапка – среща се по-рядко. При затворена уста горните предни зъби са разположени зад долните предни зъби.
Усложнения, които могат да настъпят – ако не се лекуват, кръстосаните захапки могат да доведат до изместване на челюстта на едната страна, което от своя страна води до неравномерен растеж на челюстта и износване на зъбния емайл. Кръстосаната захапка често води до заболявания на венците.
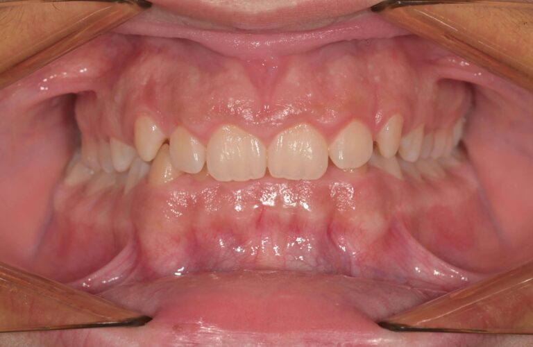
Обратна захапка (Underbite)

Обратната захапка е състояние при което долната челюст е разположена пред горната челюст, поради което долните предни зъби са разположени пред горните предни зъби. Обратната захапка може да бъде наследствена или да се развие в детството при поникване на предни зъби. Най-често обратната захапка се дължи на разлика в темповете на растеж на горната и долната челюст.
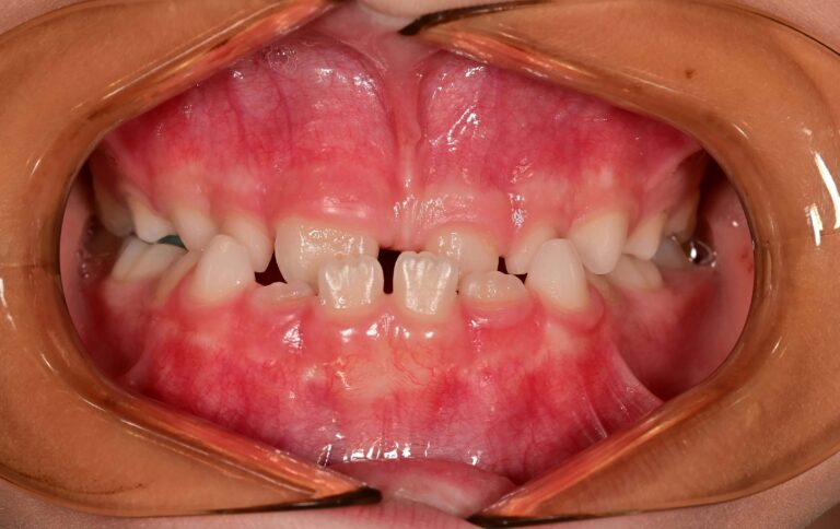
Отворена захапка

Отворената захапка вид малоклузия, при която горните и долните зъби не се докосват, когато устата е затворена. Отворената захапка може да засегне както предните, така и задните зъби.
Предна отворена захапка – при нея задните зъби се докосват, горните и долни предни зъби не се припокриват. Често това се дължи на вредни навици по време на ранното детство, като смучене на палеца, неправилно позициониране на езика или дишане през устата по време на ранното развитие на зъбите.
Задна отворена захапка – При нея предните зъби се срещат, докато задните остават отворени.
Усложнения, които могат да настъпят – Отворената захапка причинява проблеми с преглъщането, проблеми с говора, затруднения при дъвченето и отхапването. При предната отворена захапка силната захапка върху задните зъби без опората на предните води до по-голям риск от проблеми с венците и фрактури.
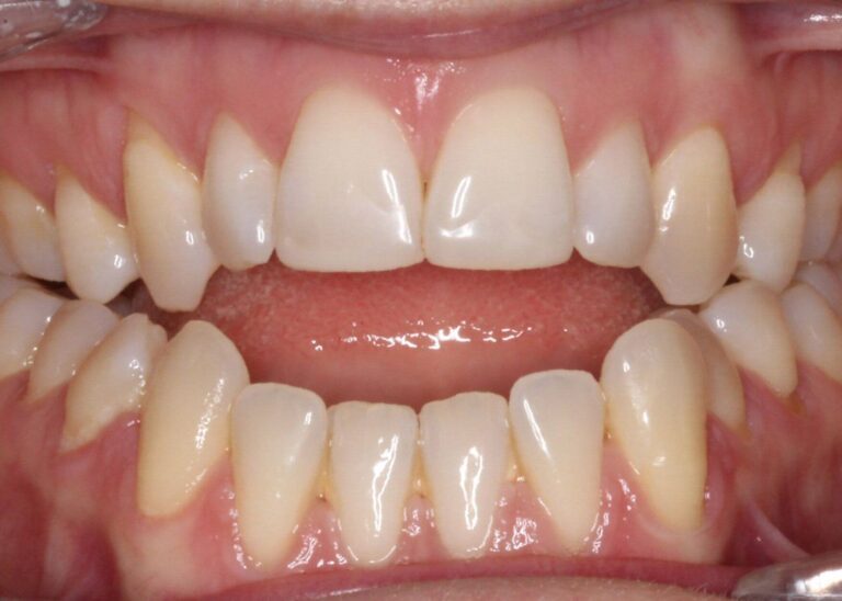
Дълбока захапка

Дълбоката захапка е най-често срещан проблем, при който горните предни зъби покриват вертикално долните зъби. В някои по-тежки случаи горните зъби могат да стигат до долните венци или долните зъби да опират в небцето. Дълбоката захапка най-често се проявява при вредни детски навици, ранна загуба на млечни зъби и несъответствия в растежа на челюстта.
Усложнения, които могат да настъпят – Ако не се лекува, дълбоката захапка причинява прекомерно износване на зъбите, повишена чувствителност, заболявания на венците и болка в челюстта.
Скупчени зъби

Това е състояние, което се получава, когато няма достатъчно място в устата за всички зъби. Липсата на достатъчно пространство води до припокриване, изкривяване или избутване на зъбите напред или назад. Скупчените зъби често са в резултат на прекалено големи зъби, преждевременна или късна загуба на млечни зъби или недостатъчно пространство в челюстта.
Усложнения, които могат да настъпят – При скупчени зъби добрата орална хигиена е много по-трудна и това увеличава риска от кариес и заболявания на венците. Липсата на лечение води до неравномерно износване на зъбите, което от своя страна води до износване на емайла и чувствителност.
Разстояния между зъбите

При наличие на твърде големи разстояния между зъбите, може да възникнат проблеми със захапката. Обикновено разстоянието между зъбите е в резултат на липсващи зъби, прекалено малки зъби, прекалено големи челюсти или комбинация от всичко изброено.
Усложнения, които могат да настъпят – При разстояния между зъбите, храната може много по-лесно да заседне в отворените зони. Това от своя страна увеличава риска от кариес и заболявания на венците. Освен това разстоянието между зъбите е сериозен естетически проблем, който води до ниско самочувствие и притеснение от показване на усмивката.
Изпъкнали предни зъби

Както подсказва името при този вид захапка предните зъби се простират прекалено напред от долните зъби или долните зъби са прекалено навътре. Най-честите причини за изпъкнали предни зъби са вредни орални навици, генетични фактори и неправилно подреждане на зъбите. В някои случаи хората с изпъкнали предни зъби могат да имат и дълбока захапка.
Усложнения, които могат да настъпят – Горните зъби по принцип са по-податливи на фрактури, а при изпъкналите предни зъби вероятността от счупване е много по-голяма. При изпъкнали зъби затварянето на устата е по-трудно, а това води до развитие на кариес, заболявания на венците и проблеми с говора.
Ортодонтско лечение при проблеми със захапката
Проблемите със захапката само се влошават със времето, затова навременното и правилно лечение е от ключово значение. За постигане на най-ефективни резултати, лечението на малоклузията трябва да започне още в детска възраст по време на растежа.
Редовните профилактични прегледи при специалист по детска дентална медицина трябва да се правят от 2-годишна възраст. По време на тях могат да се наблюдават растежа на челюстите и оформянето на временното съзъбие, защото някои от проблемите със захапката могат да се коригират още преди смяната на млечните зъби.
Препоръчително е първият профилактичен преглед при ортодонт да се направи, когато детето е на възраст 6-7 години, заедно с панорамна рентгенова снимка.
Така още в ранен етап ще се открие дали детето има проблеми със захапката, ще се предотвратят по-тежки деформации и лечението ще премине най-бързо и безпроблемно.
Ортодонтското лечение няма възрастови ограничения. Всеки може да има правилно подредени зъби и хармонична усмивка. Разбира се, колкото по-рано започне лечението, толкова по-бързи и устойчиви ще са резултатите.
