Contents
Кръстосана захапка – Какво представлява?
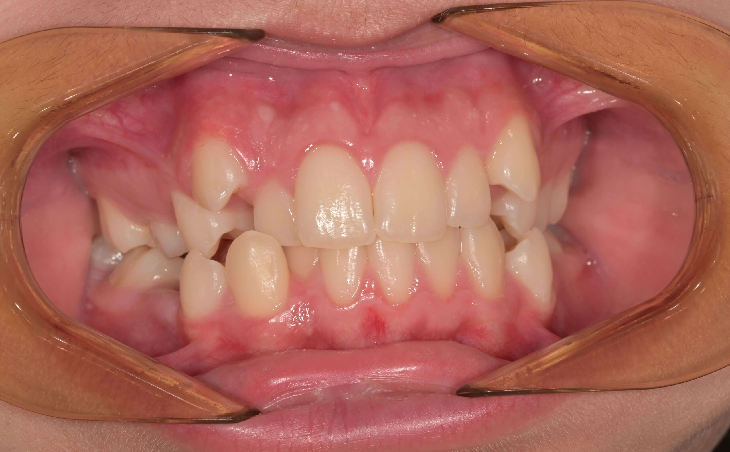
Кръстосаната захапка е една от най-често срещаните форми на малоклузия (неправилно подреждане на зъбите), при която горни зъби захапват вътре спрямо долните, вместо да ги покриват отвън, както е при нормална оклузия. Тази зъбна аномалия може да засегне единичен зъб или група зъби, засягайки предната или задната част на устата.
Разбирането на вариациите на кръстосаната захапка, е от решаващо значение за ефективното ортодонтско лечение
Кръстосаната захапка се получава, когато горната челюст е компресирана (стеснена), докато долната продължава да се развива и няма какво да я спре. Това води до несъответствие между горната и долната редица зъби.
Видове кръстосана захапка
Предна кръстосана захапка – при нея горните предни зъби застават зад долните предни зъби.
Задна кръстосана захапка – горните кътници захапват от вътрешна страна спрямо долните кътници. Задната кръстосана захапка може да бъде едностранна или двустранна.
Букална кръстосана захапка или захапка на Броди – При този вид захапка един или повече от горните задни зъби захапват напълно извън долните задни зъби. Това води до влошаване на дъвкателната функция и по-бързо износване на засегнатите зъби.
Какво причинява кръстосана захапка

Най-честите причини за кръстосана захапка са генетична предразположеност, късна смяна на млечните зъби, необичайно поникване на постоянните зъби, вредни навици като смучене на палец и др. Всички тези фактори могат да генерират прекомерен натиск, измествайки зъбите от правилните им места и изкривявайки костната структура.
Защо кръстосаната захапка трябва да бъде коригирана?
От ключово значение е лечението на кръстосана захапка да започне колкото е възможно по-рано – още в детска възраст, когато челюстите се развиват. Ненавременното лечение на кръстосана захапка води до:
Изместване на една страна на челюстта;
Изкривен или асимитричен растеж на челюстта;
Прекомерно износване на зъбния емайл;
Проблеми в термомандибуларната става;
В тежки случаи може да се наложи операция на челюстта за корекция.
Видове ортодонтско лечение на кръстосаната захапка
Правилното лечение зависи най-вече от възрастта на пациента и тежестта на проблема.
Ранно ортодонтско лечение (при деца) – ранното лечение на кръстосана захапка може да се осъществи с небцов разширител, който разширява тясната горна челюст и коригира кръстосана захапка. Това лечение може да се прилага, когато детето е на възраст от 6 до 12 години. Друг метод на лечение е посредством снемаеми апарати (тренери и лингвални пластинки). Те са подходящи при леки до умерени случаи и изискват много добро съдействие от страна на детето.
Лечение с брекети (подходящо за тийнейджъри и възрастни) – Брекетите са най-прецизният метод за контрол на движенията на зъбите. Използват се за коригиране както на предна, така и на задна кръстосана захапка.
Лечение с алайнери – този тип ортодонтско лечение е подходящо при леки и умерени случаи. Много добър естетичен вариант за възрастни пациенти, които искат ортодонтското им лечение да протича колкото е възможно по-дискретно.
Комбинирано лечение – при комбинираното ортодонтско лечение на кръстосана захапка често се използва комбинация от разширител + брекети или ортодонтски апаратчета + миофункционална терапия.
Хирургично ортодонтско лечение (при тежки случаи) – рядко се стига до такова лечение, но то е необходимо при голямо несъответствие на челюстите. Прилага се само на възрастни пациенти.
Frequently Asked Questions
Може ли кръстосаната захапка да се коригира сама?
Не! С течение на времето проблема може само да се задълбочи, затова ортодонтското лечение трябва да започне колкото е възможно по-скоро.
Кога се постигат най-добри резултати от лечението?
Най-добри резултати се постигат в детска възраст (от 6 до 12 години), когато растежа на челюстите позволява по-лесна и бърза корекция.
Колко време продължава лечението?
Обикновено лечението продължава от 12 до 24 месеца в зависимост от възрастта на пациента.
